Radiologists' Notebook
Αρχική σελίδα
Χάρτης ιστοσελίδας
Εκτύπωση
RSS
Αρχική Σελίδα
Απεικόνιση
Επεμβατική
Πρωτόκολλα
Γνωματεύσεις
Πληροφορίες
Forum
>
Αρχική Σελίδα
>
Φωτογκαλερί: 25.02.2013
>
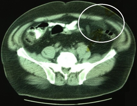
Σπιγγέλειος Κήλη.JPG
Προηγούμενο
Επίδειξη διαφανειών
Πίσω
Αναζήτηση στο site
Αναζήτηση:
Αναζήτηση
Επαφή
Υou wish to get involved?
Send us your idea.
radiologistsnotebook@gmail.com
Αυτή η ιστοσελίδα κατασκευάστηκε με Webnode
Αποκτήστε μια εντυπωσιακή ιστοσελίδα δωρεάν!
Δοκιμάστε το